


数多くの症例に取り組みました。
田町駅から徒歩3分の痛みに配慮した歯医者
ご予約・ご相談はお気軽にどうぞ ▼
肉眼で診るとそんな問題なさそうにみえます。
マイクロスコープでみて、根管をきれいにすると両方の根管から出血が認められ、根管の穿孔が確認できます。
根管の穿孔してる部位周辺をきれいにしています。穿孔部からは出血を伴いますのでなるべく穿孔部には触れず、そのまわりをきれいにする繊細な処置です。マイクロスコープが活躍します。
きれいにした状態です。穿孔部がはっきりと確認でき、あまり出血していない状態です。
穿孔部の封鎖です。穿孔部の出血や浸出液をコントロールして充填していきます。
根管上部が穿孔部位なのでしっかり充填できてるのがわかります。今後腫脹や痛み等症状がなくなったのを確認して、最終的な補綴物に移行していきます。
| 主訴 | 違和感がとれない |
|---|---|
| 先生からの提案 (治療内容について) |
根管治療、 穿孔封鎖 |
| 治療期間 | 2ヶ月 |
| 治療費 | ¥80,000 |
| 治療のリスク | 治療開始して根管を診てみると、予測したより重症で治療しても症状が改善しない場合がある。最悪の場合抜歯になる可能性がある。 |
左上の1番、2の根尖部に大きな炎症があり歯が移動しているのがわかります。
土台まで除去すると肉芽と炎症物質を含んだ膿汁が大量にでてきます。 根管治療をおこなっても炎症が治まらず、歯根端切除術に移行しました。
歯根の根尖部に大きな腫脹が認められます。
歯根端切除術の実施。歯肉を開いて、悪い感染物質を徹底的に除去します。
歯根端切除後、歯肉の治りをみて再度根管からアプローチを行い、術前みられていた排膿はみられず、安定している状態です。
出血や浸出液も少なく、コントロールできたので根管充填処置に移行しました。
右のレントゲンが術前、左のレントゲンが術後。しっかり充填できていることが確認できます。
最終的な被せ物を装着後。歯肉も安定していて、術後腫れの症状もでていないです。
| 主訴 | 腫れがおさまらない、他院で抜歯と言われた |
|---|---|
| 先生からの提案 (治療内容について) |
根管治療が必要。 場合によっては歯根端切除も必要かもしれない |
| 治療期間 | 5ヶ月 |
| 治療費 | 約¥200,000 |
| 治療のリスク | 治療開始して根管を診てみると、予測したより重症で治療しても症状が改善しない場合がある。最悪の場合抜歯になる可能性がある。 |
3根あるようにみえるが根の奥の方をきれいにしていくと下部でつながっているようにみえる。
さらにきれいにしていくと、根尖の方で2根がつながっています。
2根の状態ではきれいにできません。
2根をつなげてきれいにできる環境を作りました。
2根をつなげてきれいにしました。
術前
術後
| 主訴 | 違和感、腫れてる |
|---|---|
| 先生からの提案 (治療内容について) |
根管治療を 提案しました。 |
| 治療期間 | 3ヶ月 |
| 治療費 | ¥235,000 |
| 治療のリスク | 治療開始して根管を診てみると、予測したより重症で治療しても症状が改善しない場合がある。最悪の場合抜歯になる可能性がある。 |
虫歯がないようにみえるが過去の治療で神経が死んでいた。
神経の部屋と交通を確認し、排膿(膿み)が認められる。
4根管確認できるが近心の根にグルーブが存在する。
グルーブをきれいにしていくが症状の改善傾向がみられたのでグルーブを全部除去することはせず歯質の保存した。
超音波できれいにしている
根管がきれいになったのがわかる
高倍率での確認
高倍率でグルーブがきれいになっているのを確認
消毒し、各根管を確認
| 主訴 | 腫れて、痛い |
|---|---|
| 先生からの提案 (治療内容について) |
根管治療を 提案しました。 |
| 治療期間 | 2ヶ月 |
| 治療費 | ¥80,000 |
| 治療のリスク | 治療開始して根管を診てみると、予測したより重症で治療しても症状が改善しない場合がある。最悪の場合抜歯になる可能性がある。 |
グルーブ
グルーブとガッタパーチャ
超音波とGPリムーバーを使用
グルーブをきれにした後
グルーブの除去
グルーブをつなげてきれいにした。
根管充填
術後
| 主訴 | できものが出来てる |
|---|---|
| 先生からの提案 (治療内容について) |
根管治療を 提案しました。 |
| 治療期間 | 3ヶ月 |
| 治療費 | ¥150,000 |
| 治療のリスク | 治療開始して根管を診てみると、予測したより重症で治療しても症状が改善しない場合がある。最悪の場合抜歯になる可能性がある。 |
MTAで根管充填
術前
術後
| 主訴 | できものが出来てる |
|---|---|
| 先生からの提案 (治療内容について) |
根管治療を 提案しました。 |
| 治療期間 | 2ヶ月 |
| 治療費 | ¥70,000 |
| 治療のリスク | 治療開始して根管を診てみると、予測したより重症で治療しても症状が改善しない場合がある。最悪の場合抜歯になる可能性がある。 |
土台を除去すると中隔部位に大きな穿孔を認め、炎症性の出血を伴います。
感染部位の除去を行い、きれいな状態で止血します。
しっかり止血を行い大きな範囲で穿孔封鎖を行います。
| 主訴 | 違和感 |
|---|---|
| 先生からの提案 (治療内容について) |
根管治療、 根管封鎖 |
| 治療期間 | 1ヶ月 |
| 治療費 | 保険治療 |
| 治療のリスク | 治療開始して根管を診てみると、予測したより重症で治療しても症状が改善しない場合がある。最悪の場合抜歯になる可能性がある。 |
土台を除去して根管をきれいにすると破折線がはっきりと確認できます。マイクロスコープですと肉眼では確認しづらい破折などが確認しやすいです。
破折から感染が起こっていることが確認できたので破折に関しては根管治療で治すことが難しいので予後不良で抜歯になりました。
抜歯後の処置として患者さんと相談した結果、右下8を抜歯部位(右上7)に移植する計画にしました。
左のレントゲンが術前、右のレントゲンが術後です。固定後約3ヶ月まって最終的な被せ物を装着しました。
| 主訴 | 違和感 |
|---|---|
| 先生からの提案 (治療内容について) |
除去後歯根破折を確認。 移植術の提案 |
| 治療期間 | 4ヶ月 |
| 治療費 | 保険治療 |
| 治療のリスク | 治療開始して根管を診てみると、予測したより重症で治療しても症状が改善しない場合がある。最悪の場合抜歯になる可能性がある。 |
U字型の根管形態です。根管形態は多種多様です。下顎の7番はこのようなU字型の形態をしていることがよくあります。このような形態は通常使われているファイルと呼ばれる清掃器具ではきれいにできないので特殊な器具やマイクロスコープの使用などが必要になります。
洗浄しています。発砲しているのでまだ感染が残っていることを意味しています。
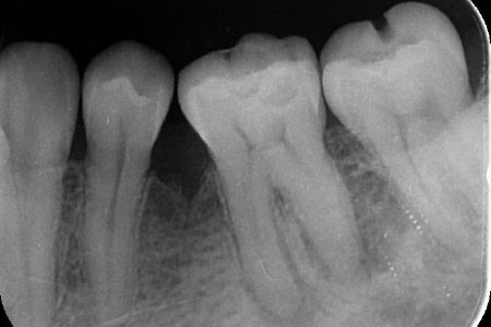
充填後のレントゲン写真
術前のレントゲン写真
| 主訴 | 違和感 |
|---|---|
| 先生からの提案 (治療内容について) |
根管治療を 提案しました。 |
| 治療期間 | 2ヶ月 |
| 治療費 | 保険治療 |
| 治療のリスク | 治療開始して根管を診てみると、予測したより重症で治療しても症状が改善しない場合がある。最悪の場合抜歯になる可能性がある。 |
U字型の根管形態(樋状根)です。
U字型でも色々な形態を有しています。
超音波エンド用チップできれいにしています。
| 主訴 | 違和感 |
|---|---|
| 先生からの提案 (治療内容について) |
根管治療を 提案しました。 |
| 治療期間 | 2ヶ月 |
| 治療費 | 保険治療 |
| 治療のリスク | 治療開始して根管を診てみると、予測したより重症で治療しても症状が改善しない場合がある。最悪の場合抜歯になる可能性がある。 |
一見二つの根管があるようにみえます。ミラーをみながら、よく観察しきれいにしていきます。
きれいにしていくと実は先端の方で根管がつながっています。高倍率のスコープで観察する重要性がわかります。
| 主訴 | 痛い、腫れてる |
|---|---|
| 先生からの提案 (治療内容について) |
根管治療を 提案しました。 |
| 治療期間 | 1ヶ月 |
| 治療費 | 保険治療 |
| 治療のリスク | 治療開始して根管を診てみると、予測したより重症で治療しても症状が改善しない場合がある。最悪の場合抜歯になる可能性がある。 |
根管と根管がつながっているように見えます。スコープを使ってきれいにしていきます。
実は根管は二つに分かれていました。グルーブ(溝)だったということです。このような溝に汚れや細菌が繁殖している場合があります。これも高倍率ではないとなかなかきれいにはできません。
| 主訴 | できものが出来てる |
|---|---|
| 先生からの提案 (治療内容について) |
根管治療を 提案しました。 |
| 治療期間 | 2ヶ月 |
| 治療費 | 保険治療 |
| 治療のリスク | 治療開始して根管を診てみると、予測したより重症で治療しても症状が改善しない場合がある。最悪の場合抜歯になる可能性がある。 |
グルーブをつなげた状態。根管のみえていなかった部分に汚れがみえます。
きれいにしていくと銀色のファイルを発見し、探索しているところです。
ファイルを発見。ファイルのまわりをさらにきれいにして、除去しやすい状態にする。
様々な器具でファイルを取り出します。
徐々に動く量を増やしていきます。
徐々に上部に動いているのがわかります。
除去完了です。
術前
術前
| 主訴 | 違和感、腫れた感じ |
|---|---|
| 先生からの提案 (治療内容について) |
根管治療を 提案しました。 |
| 治療期間 | 2ヶ月 |
| 治療費 | 保険治療 |
| 治療のリスク | 治療開始して根管を診てみると、予測したより重症で治療しても症状が改善しない場合がある。最悪の場合抜歯になる可能性がある。 |
被せ物と土台を除去すると歯質がこんな汚れているのがわかります。不適合な被せ物や詰め物は経年的に劣化して汚れていきます。
きれいにして隔壁(歯質の補強)したところです。こんなにも汚れの違いがはっきりします。
マイクロスコープで根管の汚れを確認しています。
奥歯の根管は3根や4根あったり、また複雑な形態の場合もあります。
根管がきれいになったのを確認しています。
術前
術後
| 主訴 | 症状特になし、 被せ物のやりかえ |
|---|---|
| 先生からの提案 (治療内容について) |
被せ物をやりかえるなら、しっかり根管治療を行なってから 被せましょうと提案 |
| 治療期間 | 2ヶ月 |
| 治療費 | 保険治療 |
| 治療のリスク | 治療開始して根管を診てみると、予測したより重症で治療しても症状が改善しない場合がある。最悪の場合抜歯になる可能性がある。 |



田町駅3分の歯医者「田町芝浦歯科」は虫歯から高度なインプラント治療まで総合的な治療が可能です。
田町・芝浦の歯医者 田町芝浦歯科では、患者さんの希望や主訴を大切にしています。セカンドオピニオン希望の患者さんも多く来院しています。平日20時まで、土曜も診療しており急患も随時受付を行なっていますのでお気軽にご相談ください。
田町駅から徒歩3分の痛みに配慮した歯医者
ご予約・ご相談はお気軽にどうぞ ▼