


歯周病から歯を守る
田町駅から徒歩3分の痛みに配慮した歯医者
ご予約・ご相談はお気軽にどうぞ ▼

プラークと呼ばれる細菌の塊が歯と歯肉の間に溜まり、歯石に変化します。その歯石が付着した状態が続くとはじめ歯肉に炎症を起こします。
その炎症が続くと今度骨を溶かしていきます。これが歯周病です。
歯は骨の中に埋まっていますので、骨が溶けていくと歯の支えがなくなっていきます。歯周病の恐さは最初痛みがでないことです。
痛みや症状が出てきた時にはもう重度の状態になっています。

歯周病は細菌の疾患です。
歯周病が活性化していると口腔内の悪い細菌が多く存在します。
その細菌が血液によって全身へ移行するので糖尿病や心筋梗塞に関連があると言われています。
歯周病は細菌が多く口腔内にいますのでケトン臭という劣悪な臭いを発します。
歯周病の検査にはポケット検査、レントゲン検査があります。
ポケット検査は歯と歯肉の間に存在する歯周ポケットの距離を計ります。
この数値が高ければ高いほど骨が溶けていて歯周病が進行しているということです。
正常な値が2ミリ~3ミリです。4~5ミリが軽度、6~7ミリが中等度、8ミリ以上が重度です。
軽度から中等度は痛みが無いことがほとんどです。重度になると歯が揺れてきたり、痛みがでてきます。

一つは細菌の除去。一つは細菌がつきにくい環境にすることです。
軟らかいプラークの状態であれば歯ブラシで除去することができます。
歯石になり歯にこびりついたらスケーリング、ルートプレーニングにより除去します。
これは歯科医院における専用の機械で行います。
歯石はがっちり歯にこびりついてますので、うがい薬等では除去することができません。
軽度歯周病であればスケーリング、ルートプレーニングいわゆるクリーニングというお掃除のみで大丈夫ですが、中等度になると深いポケットの中の歯石は除去することができないので歯周外科という歯肉を開いて直接みえるような状態にして歯石を除去する必要があります。
重度になると歯周外科でも歯石をとることができなくなるので最悪の場合抜歯にいたります。
歯周病が進行すればするほど処置は大変になりますし、期間がかかります。
現在なるべく骨を残したり、骨を再生する技術が発展しています。
まだ歯の再生はできませんが近い未来できるようになるかもしれません。
骨の再生療法に関しては非常に繊細な処置です。
適応症や手術時一つ一つの手技、動揺の管理、メインテナンス全てが揃わないと成功しません。
それだけ繊細な治療ですから簡単に再生ができるとはいえないです。
当医院は再生療法の症例も多くもっており、再生療法を含めた治療プランを提示できます。
プラークと呼ばれる細菌の塊が歯と歯肉の間に溜まり、歯石に変化します。
その歯石が付着した状態が続くとはじめ歯肉に炎症を起こします。
歯肉に炎症を起こしている状態が歯肉炎です。この状態を放置していると歯周病になります。歯周病の前の状態です。
プラークと呼ばれる細菌の塊が歯と歯肉の間に溜まり、歯石に変化します。
その歯石が付着した状態が続くとはじめ歯肉に炎症を起こします。前述した状態でその炎症が続くと骨を溶かしていきます。
これが歯周病です。歯は骨の中に埋まっていますので、骨が溶けていくと歯の支えがなくなっていきます。
歯周病の恐さは最初痛みがでないことです。痛みや症状が出てきた時にはもう重度の状態になっています。
いわゆる歯周病の状態をいいます。言い方の違いです。

歯周病の予防で一番大切なのは細菌の除去です。
食渣や軟らかいプラークの状態であれば歯ブラシで除去することができます。
プラークは歯にこびりついてますので、うがい薬等では除去することができません。
毎日の食後のブラッシングが一番の歯周病予防です。
歯周病が生活習慣病といわれる所以です。

軟らかいプラークの状態であれば歯ブラシで除去することができますが、プラークが停滞し唾液と反応すると歯石になります。
歯石が歯にこびりついたらブラッシングでは除去することができないので、スケーリング、ルートプレーニングにより除去します。
これは歯科医院における専用の機械で行います。

健康な歯肉では歯周ポケットの数値は正常な値で2ミリ~3ミリです。出血や腫れなどもなく色もきれいです。


軽度歯周病は歯周ポケットの数値が4~5ミリです。出血や腫れがでてくる可能性があります。


中等度歯周病は歯周検査の数値が6~7ミリです。出血や腫れに加えて動揺が起こる可能性があります。
| 治療法 | 中等度になると深いポケットの中の歯石は除去することができないので歯周外科という歯肉を開いて直接みえるような状態にして歯石を除去する必要があります。 |
|---|


重度歯周病では歯周検査の数値が8ミリ以上です。著しい腫れ、動揺や痛みが生じる可能性があります。
| 治療法 | 重度になると歯周外科でも歯石をとることができなくなるので最悪の場合抜歯にいたります。歯周病が進行すればするほど処置は大変になりますし、期間がかかります。 |
|---|
田町芝浦歯科は歯周治療に力をいれてますから診査、診断、治療計画からの治療は得意としています。
現在なるべく骨を残したり、骨を再生する技術が発展しています。まだ歯の再生はできませんが近い未来できるようになるかもしれません。
骨の再生療法に関しては非常に繊細な処置です。
適応症や手術時一つ一つの手技、動揺の管理、メインテナンス全てが揃わないと成功しません。
それだけ繊細な治療ですから簡単に再生ができるとはいえないです。
田町芝浦歯科は再生療法の症例も多くもっており、再生療法を含めた治療プランを提示できます。
| 治療前 | ![]() |
|---|---|
| 治療後 | ![]() |
主訴 |
前歯を作りたい |
|---|---|
治療期間 |
1年 |
治療費 |
保険治療 |
先生からの提案 (治療内容について) |
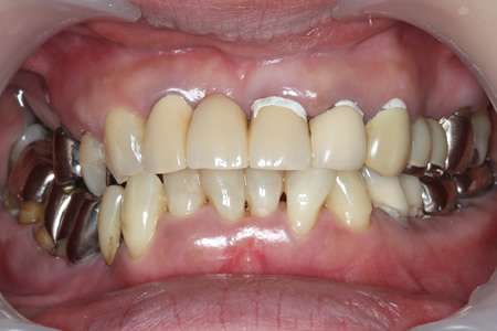
全顎的に歯周病が進んでおり、また欠損部もたくさんあるのでどこで咬んでいいかわからなくなっています。全体的診査のもと治療を進めていくことを提案しました。 歯周外科を行い、上顎はブリッジで行い、下顎は義歯でフィニッシュしました。右は治療途中の写真で簡易的な仮歯にして治療を行っていきます。 |
| 治療前 | ![]() |
|---|---|
| 治療後 | ![]() |
主訴 |
治療途中を治したい |
|---|---|
治療期間 |
2年 |
治療費 |
約250万 |
先生からの提案 (治療内容について) |
歯肉が不適合の被せものにより腫れていて、歯周治療、インプラントも含めて全顎的な治療を提案しました。歯周治療も含めてなので期間はかかりますがしっかりやっていくことを同意してファイナルまでいきました。 |
| 治療前 | ![]() |
|---|---|
| 治療後 | ![]() |

主訴 |
歯肉の腫れ |
|---|---|
治療期間 |
2年 |
治療費 |
60万 |
先生からの提案 (治療内容について) |
全顎的に歯周病が進んでおり、このままいくと5年後には全部義歯になることを説明しなるべく長く現在残っている歯を残していきましょうと説明し歯周外科とクロスアーチ補綴を行いかみ合わせを確立しました。 |
再生療法における術後のリスクは、移植した自家骨または、人工骨が歯肉の縫合の裂開により感染することがあります。



田町駅3分の歯医者「田町芝浦歯科」は虫歯から高度なインプラント治療まで総合的な治療が可能です。
田町・芝浦の歯医者 田町芝浦歯科では、患者さんの希望や主訴を大切にしています。セカンドオピニオン希望の患者さんも多く来院しています。平日20時まで、土曜も診療しており急患も随時受付を行なっていますのでお気軽にご相談ください。
田町駅から徒歩3分の痛みに配慮した歯医者
ご予約・ご相談はお気軽にどうぞ ▼