


しっかり噛めて美しい歯を
田町駅から徒歩3分の痛みに配慮した歯医者
ご予約・ご相談はお気軽にどうぞ ▼
単に歯をきれいにするだけでなく、
虫歯や歯周病、
咬合の治療など、通常の歯科で行っている治療に
「美しさ」という視点をプラスした治療を行います。
審美歯科の治療法には、「ホワイトニングによる治療法」と
「矯正」と「被せ物」によるものなど種類があります。
「歯を白くしたい」
「歯並びを美しくしたい」
「詰め物や被せ物をより自然に見せたい」
といったご要望にお応えします。
見た目だけよくしてもその歯が永続的にもつかどうかは別問題です。
機能的な問題が非常に大切になってきますのでまずは一度検査にいらしてください。

| 特徴 | ジルコニアという生体親和性の良い、頑丈な材質をフレームとして使用し、その上にセラミックス(陶材)を焼き付けています。生体親和性が良いですし、頑丈で見た目も優れている被せ物です。 |
|---|---|
| 使用する箇所 | 前歯のロングブリッジや臼歯でのブリッジに使用されることが多いです。 |
| 特徴 | e-maxという硬いフレームを使用して陶材を焼き付けています。 強度も審美的にも優れています。 ジルコニアやメタルセラミックスと比較すると審美的には優れています一方で強度が少し劣ります。 |
|---|---|
| 使用する箇所 | 主に前歯、臼歯の単冠に使用します。 |
| 特徴 | ジルコニアという生体親和性の良い材質を使用しています。硬くて強度に優れています、ただオールセラミックス、ジルコニアセラミックスと比較するとジルコニアが白い分少し白っぽく仕上がる可能性があります。 |
|---|---|
| 使用する箇所 | 主に臼歯に使用します。単冠、Brとも可能。 |
| 特徴 | セラミックスが使用され始めた当初からあるフレーム形態です。 メタルフレームなので強度もあり色味も天然の歯に近いです。 ただメタルのフレームがある分オールセラミックスと比較すると透明度が少しだけ劣ります。 |
|---|---|
| 使用する箇所 | 全ての部位で使用します。 |
| 特徴 | 昔からある歯科の材料です。ゴールドは軟らかいので延びる性質があります。 少し適合が甘くてもなじんでフィットしていきます。 非常に適合に優れている反面金属色なので見た目は良くないです。 |
|---|---|
| 使用する箇所 | 臼歯の見えにくい部位に使用します。 |
| 特徴 | 昔からある保険の材料です。 |
|---|---|
| 使用する箇所 | 保険の詰め物、被せ物に使用します。 |
歯を一層削る場合もありますし、削らずにそのまま張り付ける場合もあります。最終的な見た目の形態によって変わってきます。
審美的に色を変えたい方や形を変えたい方はおすすめします。
現在MIといってあまり歯を削らないのが主体になってきていますのでメリットとしてはあまり歯を削らずに形や色を変える事が出来ることです。デメリットとしては薄いセラミックスを張り付けるので強い力が加わるとチップしたり割れる危険性があることです。
審美的に色を変えたい方や形を変えたい方はおすすめします。正中理解や捻転歯や前歯を少し前に出したいかたにお勧めです。
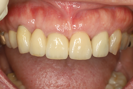
| 治療前 | ![]() |
|---|---|
| 治療後 | ![]() |
主訴 |
前歯をきれいにしたい |
|---|---|
治療期間 |
2ヶ月 |
治療費 |
26万円 |
先生からの提案 (治療内容について) |
随分前に装着したレジンの被せ物が劣化してます。またメタルによる歯肉のシャドー(金属の色を拾って、歯肉が黒ずんでみえること)になっています。虫歯など歯の内部をきれいにしてジルコニアセラミックスの被せ物を装着しました。 |
治療のリスク |
新しい被せ物を装着するので装着後多少違和感がでる場合がある |
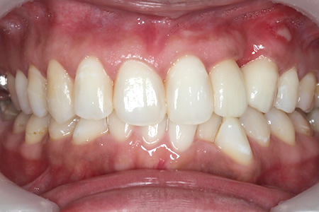
| 治療前 | ![]() |
|---|---|
| 治療後 | ![]() |
主訴 |
歯肉の黒いのが気になる |
|---|---|
治療期間 |
1ヶ月 |
治療費 |
13万円 |
先生からの提案 (治療内容について) |
随分前に装着したセラミックスの歯肉が黒くなっています。歯根の変色とメタルによる歯肉のシャドー(歯根や金属の色を拾って、歯肉が黒ずんでみえること)になっています。虫歯など歯の内部をきれいにしてオールセラミックスの被せ物を装着しました。 |
治療のリスク |
新しい被せ物を装着するので装着後多少違和感がでる場合がある |
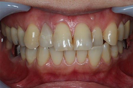
| 治療前 | ![]() |
|---|---|
| 治療後 | ![]() |
主訴 |
右上2番目前歯被せ物脱離、色を合わせたい |
|---|---|
治療期間 |
1ヶ月 |
治療費 |
13万 |
先生からの提案 (治療内容について) |
中の虫歯を除去して補強して被せ物を装着しました。色に関しては他の歯に馴染むようになるべく違和感なく製作しました。前歯のプラスチックのやりかえもすすめましたがその部位は大丈夫とのことでこのままフィニッシュしました。 |
治療のリスク |
歯ぎしりや咬合力が強いとセラミックスのチッピングや歯根破折のリスクがある |
| 治療前 | ![]() |
|---|---|
| 治療後 | ![]() |
主訴 |
全体的に治したい |
|---|---|
治療期間 |
3ヶ月 |
治療費 |
60万円 |
先生からの提案 (治療内容について) |
全顎的に治療したケースです。奥歯がなかったので奥歯はインプラントでかみ合わせを作り、安定した後前歯部の被せものに移行しました。歯間が開いているケースなので仮歯で試行錯誤して患者さんと相談し、 |
治療のリスク |
くいしばりが強いので歯根破折する可能性がある。 |
| 治療前 | ![]() |
|---|---|
| 治療後 | ![]() |
主訴 |
歯ぐきが腫れて気になる |
|---|---|
治療期間 |
3ヶ月 |
治療費 |
17万円 |
先生からの提案 (治療内容について) |
歯肉が腫れたので他院に行ったら、2本抜歯と言われたとのこと。病巣がとても大きく根管治療した後歯根端切除術を行い、メタルセラミックスにて被せたケース。 |
治療のリスク |
炎症が大きかったので歯根破折する可能性がある。 |
| 治療前 | ![]() |
|---|---|
| 治療後 | ![]() |
主訴 |
歯が黒いのが気になる |
|---|---|
治療期間 |
1ヶ月 |
治療費 |
13万円 |
先生からの提案 (治療内容について) |
随分前に装着したセラミックスの色が気になるとのこと。色が天然歯とあっていないので、虫歯など歯の内部をきれいにしてジルコニアセラミックスの被せ物を装着しました。 |
治療のリスク |
新しい被せ物を装着するので装着後多少違和感がでる場合がある。 |
| 治療前 | ![]() |
|---|---|
| 治療後 | ![]() |
主訴 |
歯の違和感 |
|---|---|
治療期間 |
2ヶ月 |
治療費 |
14万円 |
先生からの提案 (治療内容について) |
歯の違和感があるとのことで根の炎症が少しあり、根管治療を行ったのち、ジルコニアセラミックスで被せたケース。もともとの被せものの色があってなかったので隣在歯にあわせたのと、メタルのシャドーがあったのでうまく処理して自然美に仕上げました。 |
治療のリスク |
歯ぎしりが強いので歯根破折する可能性がある。 |
| 治療前 | ![]() |
|---|---|
| 治療後 | ![]() |
主訴 |
前歯が腫れて違和感がある |
|---|---|
治療期間 |
6ヶ月 |
治療費 |
36万円 |
先生からの提案 (治療内容について) |
左上の前歯が歯の破折で抜歯。また全顎的にプラークコントロールが悪く歯周治療と虫歯治療を行いました。前歯はメタルセラミックスのブリッジを最終補綴物としました。他の歯と馴染むように最終的な色をあわせました。 |
治療のリスク |
噛み合わせが悪いので歯の破折が心配です。 |
| 治療前 | ![]() |
|---|---|
| 治療後 | ![]() |
主訴 |
前歯をきれいにしたい |
|---|---|
治療期間 |
1年 |
治療費 |
100万円 |
先生からの提案 (治療内容について) |
上顎の前歯歯肉の退縮と色があっていなかったのでやりかえを進めました。 ただ神経がない歯があり、根の処置が不十分だったので根の治療も含めておこなっていきました。 |
治療のリスク |
歯ぎしりや咬合力が強いとセラミックスのチッピングや歯根破折のリスクがある |
| 治療前 | ![]() |
|---|---|
| 治療中 | ![]() |
| 治療後 | ![]() |
主訴 |
前歯を綺麗にしたい |
|---|---|
治療期間 |
3ヶ月 |
治療費 |
30万円 |
先生からの提案 (治療内容について) |
不適合な被せものが入っており、また歯茎のラインが異なっているのと、歯が欠けているので、歯茎を下げる処置とセラミックによる治療と歯の欠けに対してはプラスチックの接着をすすめました。 |
治療のリスク |
歯ぎしりや咬合力が強いとセラミックスのチッピングや歯根破折のリスクがある |
| 治療前 | ![]() |
|---|---|
| 治療後 | ![]() |
主訴 |
前歯の隙間をなんとかしたい |
|---|---|
治療期間 |
2ヶ月 |
治療費 |
26万円 |
先生からの提案 (治療内容について) |
プラスチックの劣化と歯の形態が悪いのでセラミックスを張り付ける治療をすすめて行っていきました。 |
治療のリスク |
歯ぎしりや咬合力が強いとセラミックスのチッピングや歯根破折のリスクがある |
| 治療前 | ![]() |
|---|---|
| 治療後 | ![]() |
主訴 |
前歯の見た目が気になる |
|---|---|
治療期間 |
2ヶ月 |
治療費 |
45万円 |
医師からの提案 |
インプラントとBrのメリット、デメリットを説明の後患者さんはBrを選択した。 |
| 治療前 | ![]() |
|---|---|
| 治療中 | ![]() |
| 治療後 | ![]() |
主訴 |
八重歯が気になる |
|---|---|
治療期間 |
3ヶ月 |
治療費 |
24万円 |
先生からの提案 (治療内容について) |
矯正したほうが良いと進めたが期間的に難しいとのことで八重歯を抜いて隣在歯をセラミックスに変えてなるべく左右対称にしていくことを提案。 |
治療のリスク |
歯ぎしりや咬合力が強いとセラミックスのチッピングや歯根破折のリスクがある |
| 治療前 | ![]() |
|---|---|
| 治療中 | ![]() |
主訴 |
前歯が腫れて違和感 |
|---|---|
治療期間 |
3ヶ月 |
治療費 |
36万円 |
先生からの提案 (治療内容について) |
前歯一本が歯根破折により保存することが難しいと説明。抜いてブリッジかインプラントと提案したが隣在歯がすでに削ってあったため相談してブリッジで進めていくことに決定。 |
治療のリスク |
歯ぎしりや咬合力が強いとセラミックスのチッピングや歯根破折のリスクがある |
| ポイント | ・透明感のある |
|---|---|
| 長所・短所 | 金属の裏打ちがなく光が 透過するので、より透明感の ある歯になります。 |
| 料金 | ¥137,500 |
| 美しさ | ★★★★ |
|---|---|
| 耐久性 | ★★★ |
| 清潔性 | ★★★★★ |
| 適合性 | ★★★★ |
| ポイント | 健康的な美しさ |
|---|---|
| 長所・短所 | 白いジルコニアという硬いフレームで構成されていますので強度と審美に優れています。 |
| 料金 | ¥148,500 |
| 美しさ | ★★★★ |
|---|---|
| 耐久性 | ★★★★ |
| 清潔性 | ★★★★★ |
| 適合性 | ★★★★★ |
| ポイント | 見た目を改善 |
|---|---|
| 長所・短所 | 全てジルコニアです。白い歯になります。 |
| 料金 | ¥115,500〜148,500 |
| 美しさ | ★★ |
|---|---|
| 耐久性 | ★★★★★ |
| 清潔性 | ★★★★★ |
| 適合性 | ★★★★ |
| ポイント | 見た目は金属だが 適合性にとても優れている |
|---|---|
| 長所・短所 | 見た目はメタル色になりますがゴールドの延びる性質がありますので適合に優れています。 |
| 料金 | ¥115,500+g×時価 |
| 耐久性 | ★★★★★ |
|---|---|
| 清潔性 | ★★ |
| 適合性 | ★★★★★ |
| ポイント | 見た目は金属 |
|---|---|
| 長所・短所 | 保険と同じ材質 |
| 料金 | ¥55,000+g×時価 |
| 耐久性 | ★★★★★ |
|---|---|
| 清潔性 | ★★ |
| 適合性 | ★★ |
| 金額 | ¥137,500 |
|---|
破折、色調の再現に限界があります。



田町駅3分の歯医者「田町芝浦歯科」は虫歯から高度なインプラント治療まで総合的な治療が可能です。
田町・芝浦の歯医者 田町芝浦歯科では、患者さんの希望や主訴を大切にしています。セカンドオピニオン希望の患者さんも多く来院しています。平日20時まで、土曜も診療しており急患も随時受付を行なっていますのでお気軽にご相談ください。
田町駅から徒歩3分の痛みに配慮した歯医者
ご予約・ご相談はお気軽にどうぞ ▼